Tổng Quan
Ngoại xạ trị (EBRT) phóng ra tia X năng lượng cao hoặc chùm proton đến mô đích để tiêu diệt tế bào ung thư, để ngăn chặn tiến triển ung thư tại vùng được chiếu xạ. Khi xạ trị hằng ngày hoặc 2 lần mỗi ngày, thậm chí là nhiều tuần, dù liều xạ trị thấp nhưng cũng sẽ gây hại đối với người bệnh. Liều lượng xạ trị được xác định bằng "lượng hấp thụ năng lượng", tính theo đơn vị Gray (Gy) hoặc centigray (cGy). Đơn vị centigray tương đương với "rad" (được sử dụng trước đây ở Hoa Kỳ). Ví dụ, 70Gy = 7000 cGy (hoặc rads). Xạ trị điều biến liều (IMRT) là một phương pháp mới hơn của EBRT, phần mềm máy tính sẽ phác họa hình ảnh 3D của khối u một cách chính xác và cho phép điều chỉnh cường độ của chùm bức xạ để tập trung một liều lượng cao hơn vào khối u trong khi giảm thiểu sự ảnh hưởng lên các mô xung quanh.

Viêm Niêm Mạc
Viêm niêm mạc xảy ra do tổn thương trực tiếp và tổn thương gián tiếp lên biểu mô hầu họng, nơi có tốc độ luân chuyển của tế bào một cách nhanh chóng, do đó rất dễ bị tổn thương. Tỷ lệ viêm niêm mạc khá cao ở bệnh nhân trong quá trình điều trị ung thư đầu và cổ, kể cả có sự thay đổi về liều lượng bức xạ ion hoá cũng như sự khác biệt về vị trí và thể tích khối u. Các tổn thương niêm mạc như loét và nổi ban đỏ gây ra cảm giác đau đớn, ảnh hưởng quá trình ăn uống và chất lượng cuộc sống nói chung và đóng vai trò như một con đường thuận lợi dẫn đến nhiễm trùng. Nếu nghiêm trọng, viêm niêm mạc có thể ảnh hưởng đến tiến trình theo phác đồ điều trị của bệnh nhân và do đó ảnh hưởng đến phác đồ điều trị. Kiểm soát xoay quanh việc giảm đau, hỗ trợ dinh dưỡng và kiểm soát bội nhiễm.

Khô Miệng

Xạ trị gây ra các tác động tạm thời và lâu dài trên các vùng mô mềm và mô cứng được chiếu xạ, dẫn đến suy giảm số lượng tế bào, giảm tưới máu và giảm oxy máu động mạch. Các tuyến nước bọt rất dễ bị tổn thương và dẫn đến suy giảm chức năng, thường gặp với phác đồ xạ trị tiêu chuẩn được sử dụng cho bệnh ung thư đầu và cổ. Mức độ tổn thương của tuyến nước bọt phụ thuộc vào liều xạ trị và có (hay không) kết hợp với hóa trị liệu đồng thời. Nước bọt đóng nhiều vai trò & chức năng khác nhau với các đặc tính kháng khuẩn, tiêu hóa, kháng axit và bôi trơn. Hậu quả của suy giảm chức năng tiết nước bọt là rất lớn, bao gồm gia tăng tỷ lệ nhiễm trùng miệng và sâu răng, rối loạn vị giác, phục hình tháo lắp mất ổn định, đau, dịch tiết đặc và khó khăn trong việc ăn nhai. Chứng khô miệng mãn tính có thể làm teo niêm mạc miệng và khó nuốt.
Nói Khó, Cứng Hàm, Sâu Răng
Tương tự như hóa trị liệu, xạ trị cũng làm thay đổi vị giác. Chán ăn ảnh hưởng đáng kể đến chất lượng cuộc sống của bệnh nhân, thường đi kèm với biến chứng của điều trị bao gồm khô miệng, chứng khó nuốt, viêm niêm mạc miệng và nhiễm nấm candida. Điều trị gây tổn thương trực tiếp đến vị giác và tuyến nước bọt, phục hồi vị giác sau điều trị ít có khả năng xảy ra. Và hiện tại, không có cách điều trị cụ thể cho vấn đề này.
Cứng hàm là sự hạn chế khi mở miệng do xơ hóa khớp và cơ nhai do bức xạ, làm hạn chế khả năng ăn uống cũng như khó vệ sinh răng miệng. Các triệu chứng thường biểu hiện trong vài tháng đầu sau khi xạ trị và tiến triển trong những tháng tiếp theo cho đến nhiều năm sau. Các biện pháp phòng ngừa bao gồm vật lý trị liệu và các bài tập giãn cơ, những phương pháp này góp phần làm giảm nguy cơ tiến triển cứng hàm, tuy nhiên sẽ kém hiệu quả nếu cứng hàm đang tiến triển.

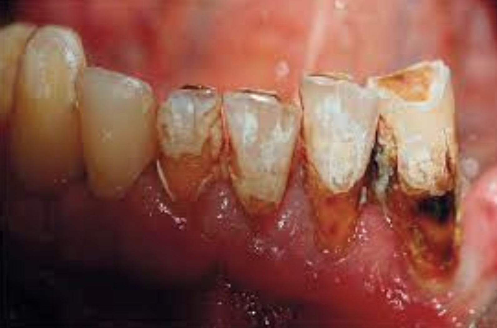
Sâu răng trong trường hợp "khô miệng do bức xạ" có thể lan rộng và tàn phá nặng nề. Việc mất đi các yếu tố bảo vệ trong nước bọt thúc đẩy sự thay đổi của vi khuẩn trong miệng, ưu tiên sự phát triển của các vi khuẩn sinh acid và vi khuẩn gây sâu răng. Tất cả các bề mặt răng đều có thể bị sâu, tuy nhiên cổ răng là vị trí tổn thương nặng nề nhất. Các biện pháp dự phòng bao gồm vệ sinh răng miệng, bôi Fluor thường xuyên và phải duy trì suốt đời.
Hoại Tử Xương

Một người đàn ông 69 tuổi đến khám vì cơn đau và vết thương không lành ở hàm dưới bên trái. Bệnh nhân là một người nghiện thuốc lá lâu năm, bị ung thư vòm họng và đã được xạ trị (ngoại xạ trị với kích thước trường tiêu chuẩn, phân đoạn thông thường và liều trung bình 64 Gy) và hóa trị. Trên lâm sàng, xương hoại tử lộ ra ở hàm dưới bên trái, viêm, sưng và gây tê dây thần kinh ổ răng dưới
(a). Hình ảnh chỉnh hình cho thấy gãy xương bệnh lý của hàm dưới bên trái
(b). Bệnh nhân được chẩn đoán bị hoại tử xương hàm dưới và được chỉ định phẫu thuật điều trị.
Hoại tử xương hàm do phóng xạ (ORN) là một biến chứng nghiêm trọng có thể xảy ra của xạ trị, ảnh hưởng đến khả năng vững ổn của mô xương và khả năng chịu lực ngay cả với những chấn thương nhỏ như nhổ răng hoặc lở loét niêm mạc. ORN cũng có thể xảy ra một cách tự phát, mặc dù có nhiều khả năng dẫn đến tình trạng tổn thương mô xương. Nguy cơ tiến triển ORN được cho là có liên quan đến liều lượng, đặc biệt là khi tổng liều lượng lớn hơn 60 Gy. Nguy cơ không giảm dần theo thời gian mà càng tăng lên khi kết hợp cả hóa trị và xạ trị. Sự phá hủy xương có thể lan rộng, với các đoạn xương lớn bị hao mòn, các mảnh xương bị hủy hoại, lỗ rò trong miệng, gãy xương bệnh lý và khả năng bội nhiễm. Điều trị bao gồm phẫu thuật cắt bỏ mô hoại tử, dùng liệu pháp oxy cao áp (HBOT) để tạo điều kiện chữa lành vết thương và thúc đẩy quá trình tái tạo mạch, sử dụng kháng sinh nếu nghi ngờ bội nhiễm. Những bệnh nhân có nguy cơ cao tiến triển ORN nếu cần thực hiện các thủ thuật sau khi chiếu xạ, chẳng hạn như nhổ răng, thì nên được xem xét dùng HBOT dự phòng.
Chứng Khó Nuốt
Xạ trị có thể ảnh hưởng đến chức năng nuốt ở giai đoạn sớm và muộn. Ảnh hưởng sớm có liên quan đến chứng khô miệng tạm thời trong quá trình điều trị cũng như đau, chảy máu hoặc loét do viêm niêm mạc. Các tác dụng muộn liên quan đến khô miệng mạn do tổn thương tuyến nước bọt, cứng hàm, hẹp hầu họng hoặc thực quản và các vấn đề về răng liên quan đến hoại tử xương và sâu răng. Xơ hóa mô mềm tiến triển có thể dẫn đến sự cứng nhắc của phức hợp hạ hầu trong nhiều năm sau điều trị cùng với sự suy giảm chức năng trong miệng và cơ chế nuốt ở hầu họng, kèm theo đó là tăng khả năng thông khí.
Tài liệu gốc: “Clinical Oral Medicine and Pathology by Jean M. Bruch, Nathaniel Treister”